Tierfreunde-News 2022
Dezember 2022
Die Untersuchung von Nike konnten wir dank der vielen Spenden jetzt auf den Weg bringen. Ein Ergebnis vom MRT des Kopfes haben wir leider noch nicht, aber so können wir prüfen, ob ein Defekt im Gehirn vorliegt, was ihre Sehfähigkeit beeinträchtigt. Sie schien am Anfang ganz blind, das ist sie aber eindeutig nicht, sie hat sich bisher richtig gut gemacht und hoffen wir, dass wir mit dem Ergebnis einen Ansatz zur Heilung haben, die süße Maus hat es verdient! 🍀
Eine wirklich gute Nachricht zu Weihnachten!
Die Ergebnisse von Nikes MRT sind da! Die genaue Untersuchung des Kopfes hat gezeigt, dass sie mit etwas Zeitverzögerung aufgrund eines angeboren Gendefekts erwachsen wird, aber keine weiteren Gesundheitsprobleme oder Beeinträchtigungen zu erwarten sind. Gott sei Dank. Die partielle Blindheit in einem Auge wird weiter abnehmen, Nike wird ein ganz normales Leben führen können, wir freuen uns sehr!
Dezember 2022
Bau-Fortschritt. Es tut sich was! 🍀
Das neue Gelände für die Hunde nimmt Formen an. Zum einen ist der Kies gekommen, der sowohl auf dem alten Platz die Löcher füllt und so die Hunde trockener bleiben lässt, zum anderen ist so der neue Platz schon mal eingegrenzt worden. Im tieferen Bereich ist das Gelände befestigt worden, wo die Hundehütten geplant sind und heute ist Gott sei Dank doch noch der Betonmischer gekommen. Also, das Gelände ist nun eingezäunt, der Hüttenplatz eingeebnet und betoniert, alles unter dem festen Blick der zukünftigen Bewohner. Deren Kommentare sind ebenfalls nicht zu überhören.
Tierfreunde Griechenland e.V.
DE43447615342319622900
GENODEM1NRD
VOLKSBANK IN SÜDWESTFALEN
PayPal: richarda.borkenstein@tierfreunde-griechenland.de
Dezember 2022
Die Nachrichten zu unsere Hündin Belezza sind leider wirklich nicht gut, die Nierenwerte sind viel zu hoch, trotz der Medizin, die sie erhält. Morgen wird der Tierarzt noch mal die Werte der Nieren bestimmen und schauen, ob die Entzündungswerte gefallen sind. Sie ist recht jung, vermutlich wird eine Blut-Transfusion ihr helfen können. Arme Bellazza! Daumendrücken ist angesagt.
Dezember 2022
Wir machen uns Sorgen um Hope und sein Auge. Die Nässe und Kälte vor Ort haben ihm nicht gut getan. Sein Auge ist entzündet, durch die Medikamente , vom Tierarzt verschrieben, ist es inzwischen etwas besser geworden, aber Aliki wird noch zum Augenarzt fahren, um zu klären, ob eine Operation nötig ist. Der Winter kommt erst, und mit ihm leider oft Krankheiten, wir haben für die Hunde halt keine wirklich warmen Plätze. Die Bauarbeiten am Gelände starten gerade, heute ist der Kies gekommen, um die Nässe in Griff zu bekommen. Wir hoffen, dass wir unsere Hunde, vor allem unsere Notfellchen, gut durch den Winter bekommen.
Dezember 2022
Land unter! Hilfe !!! Unser Tierheim in Kavala ist aufgrund der zwei Wochen Regen Regen Regen nur noch Matsch! Die Hunde haben diesen im Fell, bringen so die Feuchtigkeit auch in ihre Hütten. Gesund ist das nicht! Wir brauchen dringend finanzielle Unterstützung, um den benötigten Kies kaufen zu können, um einen Teil der Fläche passend ausstatten zu können. Ein weiteres Stück Land kann eingezäunt werden, um das Gehege für unsere größer werdenden Junghunde zu erweitern. Neue Paletten und neue Hütten werden folgen. Wer uns hier unterstützen kann mit finanzieller Hilfe, dem sagen wir schon jetzt Danke! Jeder Euro hilft. Mit 100 € können wir einige Säcke Kies kaufen. Für 20 € bekommen wir gute Paletten zum Schutz vor Nässe von unten! Bitte helft ....
Tierfreunde Griechenland e.V.
DE43447615342319622900
GENODEM1NRD
VOLKSBANK IN SÜDWESTFALEN
Dezember 2022
Morgen ist Nikolaus 🎅🏽 und wer mag etwas in die Stiefelchen für unsere Fellnasen stecken? Ganz einfach ist es über diese App, die über den Link geladen wird und dann man dort für einen Tag oder eine Woche Futter spenden kann und schwupps wird dies vom Nikolaus 🤶 verdoppelt ! Unsere Fellnasen in Kavala werden sich freuen und wir sagen herzlich danke 🙏🏽
https://www.feedadog.com/
November 2022
Nikos
Dieser hübsche helle Riese 🐕 ist etwa vier Jahre alt und hat schon Grausames erlebt. Er war bisher in einem Dorf in der Nähe von Kavala, wo er nun zum zweiten Mal von einem Mann mit einer Axt attackiert worden ist. Andere Dorfbewohner haben ihn schwer verletzt zur Tierärztin Sophia gebracht, die ihn wieder zusammengenäht und zugleich sterilisiert hat. Jetzt konnte er entlassen werden und ist bei Aliki untergebracht, denn in das Dorf zurück kann er keinesfalls. Dort würde man ihn zu töten versuchen, Nikos hat aber ein Recht in Ruhe zu leben. Nun kann er bei Aliki erst einmal lernen, dass es auch liebevolle Menschen gibt, die es gut mit ihm meinen. Und vielleicht gibt es ja auch eine Traum-Familie für ihn in Deutschland ?
November 2022
Unsere Spenden Party 🎉 war ein voller Erfolg!
Am letzten Samstag haben uns viele spendable Freunde besucht, die Tombola war wirklich schnell ausverkauft. Waffeln, Leberkäse und Würstchen, sowie Kaffee, Eierpunsch, Glühwein und Kinderpunsch sind gut angenommen worden. Und die Stimmung bei wirklich kaltem Wetter war hervorragend, warmherzig und unseren Fellnasen zugewandt, sodass wir DANKE sagen für den Erlös von 1591€
Ihr seid
Spitze, liebe Besucher/ innen!!!
November 2022
Sana 🐕🥰😥
Diese Hündin ist heute auf der Spenden-Party getauft worden. Katrin ist nun Namenspatin von der armen Fellnase, die Katerina in ihrer Straße gefunden hat. Sie hat diesen verletzten Hund sofort zum Tierarzt gebracht, der eine extreme und verschleppte Infektion des Ohrs zu behandeln hatte. Sie muss umgehend operiert werden, vermutlich wird das Ohr entfernt werden müssen. Sobald es ihr besser geht, wird der Tierarzt sie entlassen und Katerina die arme Maus zu Aliki bringen. Dank der vielen Gäste heute können wir hier helfen und Sana die beste Behandlung bieten. Danke allen Freunden von nah und fern!
November 2022
Philí ✨🌈
Diese Freundin von Eva musste nun eingeschläfert werden, die Untersuchung hat bösartigen Krebs ergeben, eine Operation und Heilung war nicht möglich. Und da die Hündin immer mehr Schmerzen zu haben schien, hat Eva, die sie gefüttert und umsorgt hat, da sie in ihrer Straße aufgetaucht war, ihr diesen Ehrendienst schweren Herzens erwiesen. Lauf frei und ohne Schmerz, liebe Philí ...
November 2022
Spenden Party 🎉💙 heute ist der große Tag, wir freuen uns auf euch. Die Vorbereitungen sind abgeschlossen, die Tombola und der Verkaufstisch stehen bereit. Tische und Bänke warten auf Gäste, Glühwein oder Kinderpunsch, Waffeln und Kaffee, und als Deftiges Würstchen oder Leberkäse gibt es reichlich.
November 2022
Aliki hat nun die ersten Medikamente für Baku gekauft, Milteforan gegen die Filarien. Dank der tollen Spende für dieses Sorgenkind war das möglich. Außerdem musste der Vorrat an Schnelltests zum qualitativen Nachweis vom Parvovirus aufgestockt werden, dieser Virus ist halt sehr ansteckend, und sollte ein erster Hund mit Durchfall reagieren, so ist Aliki immer auf der sicheren Seite, wenn sie diesen Test macht und dann den Welpen oder den Hund isolieren kann.
November 2022
Tinka, die in Griechenland auf einer Pflegestelle war, hat all ihren Charme spielen lassen und vor Ort sich eine Freundin ausgeguckt. Wie man sieht, sind beide in diese Partnerschaft glücklich. Sie verbleibt also in Griechenland und wir dürfen sie daher zu den Glückskeksen packen. Alles Gute Tinka-Belle!
November 2022
Socken aus veganer Wolle!
Eine unserer treuesten Unterstützerinnen strikt für uns. Mit veganer Wolle werden diese Söckchen angefertigt, für Kinder in Größe 20/21 für zwei Euro das Paar. Auch für Wollallergiker sind diese Socken ideal, um im Winter warme Füße zu haben.
Bitte melden (mit Größenangabe), wenn
Interesse besteht, so bleiben Baby-, Kinder und unsere🦶Füße warm!
November 2022
Riky auf dem Weg ins neue Zuhause !💙🥰
Wir sind unendlich dankbar, dass Riky ein neues Zuhause in Deutschland gefunden hat. Doch zu dieser erfreulichen Nachricht gehört auch der traurige Abschied von Eva, die sich nun zwei Jahre lang in Griechenland um diesen Kuschelbär gekümmert hat. Mit Tränen in den Augen, guten Wünschen im Herzen ist gestern Morgen der Abschied in Griechenland von Eva, Aliki und Sophia abgelaufen, heute dann die ersten Erfahrungen auf dem süddeutschen Hof für unser Sorgenkind in der neuen Familie. Alles Gute, du Kuschelbär 🍀💙
November 2022
Baku, der gestern von Aliki in erbärmlichem Zustand aufgelesen wurde, ist leider alles andere als gesund. Der Schnelltest des
Tierarztes ergab, dass er sowohl Leischmaniose- als auch Filarien- und Ehrlichiose-positiv ist. Damit kommt einiges an Arbeit und Kosten auf uns zu! Die Behandlung der Herzwürmer ist nun einmal langwierig, und eben auch kostspielig. Dies können wir aber erst beginnen, wenn Baku etwas aufgepäppelt ist, also zu Kräften gekommen ist. Dennoch müssen wir anfangen, hier für Geld zu sammeln, um die teure Behandlung finanzieren zu können.
Baku wird also für uns ein weiterer Patenhund werden, den wir vor Ort aufpäppeln und versorgen! Wer uns hierbei unterstützen mag, der meldet sich am besten einfach für eine Patenschaft über unseren Link. Aber auch jede einzelne kleine Überweisung hilft enorm! Wir sagen Danke all denen, die für Baku ein Herz ♥️ haben.
Unser Spendenkonto
Tierfreunde Griechenland e.V.
DE43447615342319622900
GENODEM1NRD
VOLKSBANK IN SÜDWESTFALEN
November 2022
Krebskranke Hündin Philí braucht Hilfe!
Diese Straßen-Hündin wird seit einem Jahr regelmäßig von Eva gefüttert. Eva hat den Tumor entdeckt und die Hündin zum Tierarzt gebracht. Das Blutbild von Philí ist gut, aber der Tumor muss zügig entfernt werden. Für diese Operation brauchen wir dringend Unterstützung, jede noch so kleine Spende hilft. Der Name Philí bedeutet Freundin auf Griechisch.
Und wir möchten Eva helfen, diese Freundin nicht zu verlieren. Wer hilft mit? Jeder Cent und Euro kommt an, die Operation muss wirklich sein! Bitte helft!
Unser Spendenkonto
Tierfreunde Griechenland e.V.
DE43447615342319622900
GENODEM1NRD
VOLKSBANK IN SÜDWESTFALEN
September 2022
Toska - ein trauriger Tag in Kavala Dieser kleine Welpe, eine von fünf hübschen Mädchen einer jungen Hündin ist leider gestern verstorben. Sie hat trotz tierärztlicher Hilfe es nicht geschafft, den agressiven Magen-Darm-Virus bekämpfen zu können. Das ist leider ein echtes Problem bei sehr jungen Hunden, wenn diese noch nicht ausreichend Abwehrkräfte haben entwickeln können. Mit Aliki sind wir unendlich traurig, diese Fellnase verloren zu haben. Wir hoffen, dass ihre drei Schwestern, die noch in vor Ort sind und ebenfalls gegen diesen Virus kämpfen müssen, mehr Kraft haben. 🌈
Oktober 2022
Save the Date - 19. November 2022 Spendenparty in Haltern am See/ Lünzum
Wir laden ein!!!
Am Samstag, dem 19. November, ab 14:00 Uhr freuen wir uns über alle Mitglieder, alle Familien, die sich für unsere griechischen Fellnasen interessieren, vielleicht schon einen von uns Tierfreunden Griechenland e.V. adoptiert haben, über alle Interessierten, die uns erstmalig oder weiterhin unterstützen wollen. Hunger und Durst soll mitgebracht werden: Grill, Leberkäse, Waffeln, Bier, Glühwein und Punch, (mit und ohne Alkohol) gibt’s genauso wie eine Tombola mit vielen guten Preisen. Also lasst euch überraschen.
Jeder Tierliebhaber ist willkommen 💙
Oktober 2022
Liebes Team der Tierfreunde Griechenland,
am 26.03.2021 traten Linus und seine Schwester Mika ihre große Reise nach Deutschland an.
Mika fand ihr neues Zuhause in Bayern und Linus wurde ein Ruhrgebietskind. Also weit weg voneinander.
Dank der von Richarda Borkenstein angelegten WhatsApp Gruppe konnten wir Adoptiveltern immer im Kontakt bleiben So wurde sich ständig über die Entwicklung der Fellnasen ausgetauscht. Komisch jede Entwicklung die Mika machte, fand auch genauso bei Linus statt und umgekehrt. Natürlich besonders beim Unfug. Es entstand dadurch eine Freundschaft auf Ferne zwischen uns Zweibeinern.
Irgendwann kam dann die Frage auf, ob sich Mika und Linus wiedererkennen würden. Daraus entstand die Idee sich zu treffen. Also ein Ferienhaus in der näheren Umgebung wo Mika wohnt suchen. Gesagt, getan am 30.04.22 ging es los. 620 km von Dortmund nach Bobingen.
Am 01. Mai war es dann endlich so weit, die erste gemeinsame Gassirunde in den Wäldern um Bobingen / Straßberg herum. Anfangs standen sich die Geschwister gegenüber, kurz schnüffeln, ein sanftes Bellen und mehr nicht.
Doch mit jedem Schritt wurde die Neugier immer größer und nach nur ein paar Metern hat es Klick gemacht. Bei Menschen würde man sagen, sie sind sich in die Arme gefallen.
Es war einfach eine Freude zu sehen, wie sich beide Hunde wieder erkannt haben und zusammen tobten als ob es nie ein Tag der Trennung gegeben hätte. Wir Zweibeiner hatten natürlich Pipi in den Augen und wussten sofort, alles richtig gemacht.
Doch Bilder und Filme sagen mehr als tausend Worte.
Eins ist ganz sicher, 2023 treffen wir uns wieder. Vom 28.04. – 06.05.2023 ist der nächste Familienurlaub geplant und auch bereits gebucht.
Linus und Mika sollen sich wiedersehen und auch wir Zweibeiner wollen unsere neugewonnene Freundschaft vertiefen und das nicht nur über Social Media, sondern altbacken, analog und persönlich.
Seid alle lieb gegrüßt
Simone und Beate + Ralf
Ein Wuffwuff von
Mika mit ihrem Beas und Linus mit seiner Bärbel
Oktober 2022
Soto & Mini
Zwei unserer Patenhunde mussten aufgenommen werden. Soto und Mini, das Hundepärchen, welches am Strand lebte, musste dort weggeholt und von Eva in einer Pension untergebracht werden. Sie waren am Strand nicht mehr sicher, weil die Hunde dort bedroht wurden und angekündigt wurde, die beiden zu „entsorgen“. Leider verschwinden so immer wieder Hunde, die von Menschen einfach mit Stöcken, Steinen oder Gift getötet werden, obwohl sie niemandem etwas tun. Aus Angst um die beiden haben wir reagiert. Nun müssen wir zusehen, dass wir die Pensionskosten zusammenbekommen, um Eva vor Ort hier zu unterstützen. Hierzu haben wir unsere Patenschaften geschaffen, und wir freuen uns über Hundeliebhaber, die Mini oder Sotos als Pate unterstützen wollen.
Oktober 2022
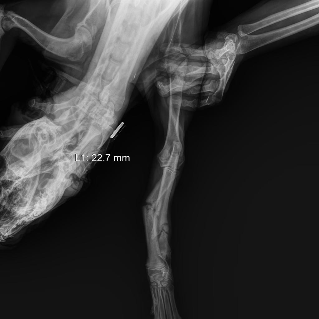
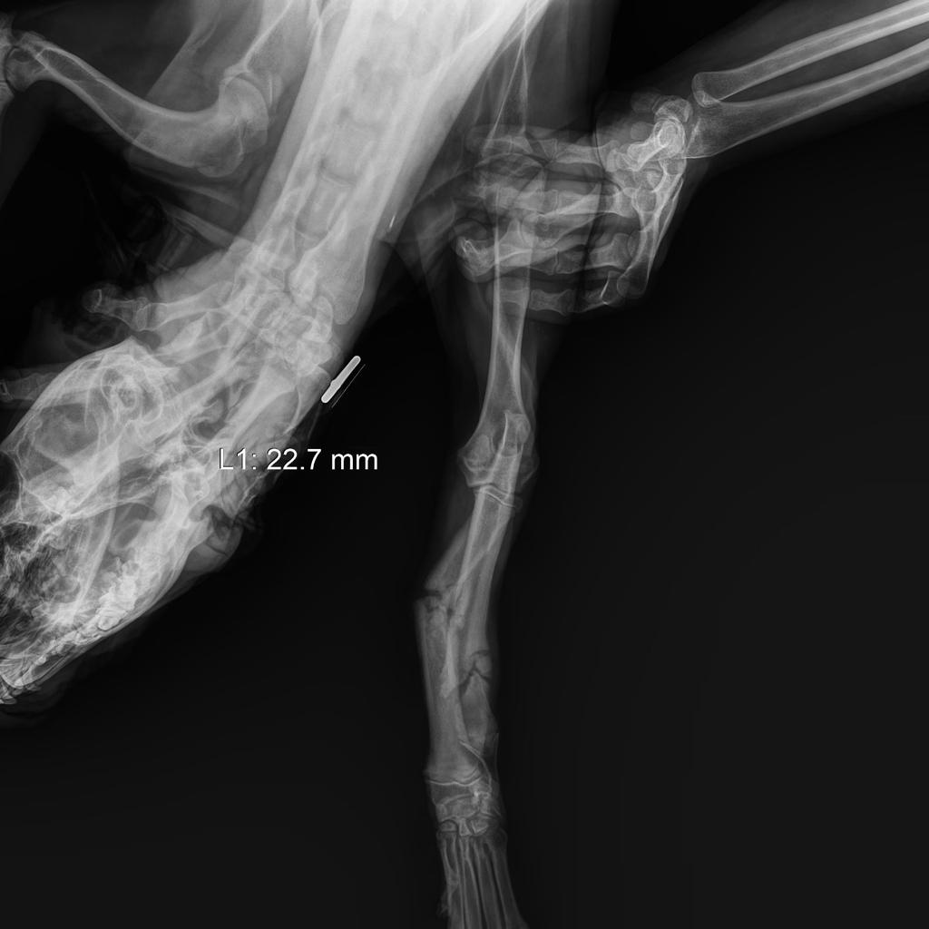
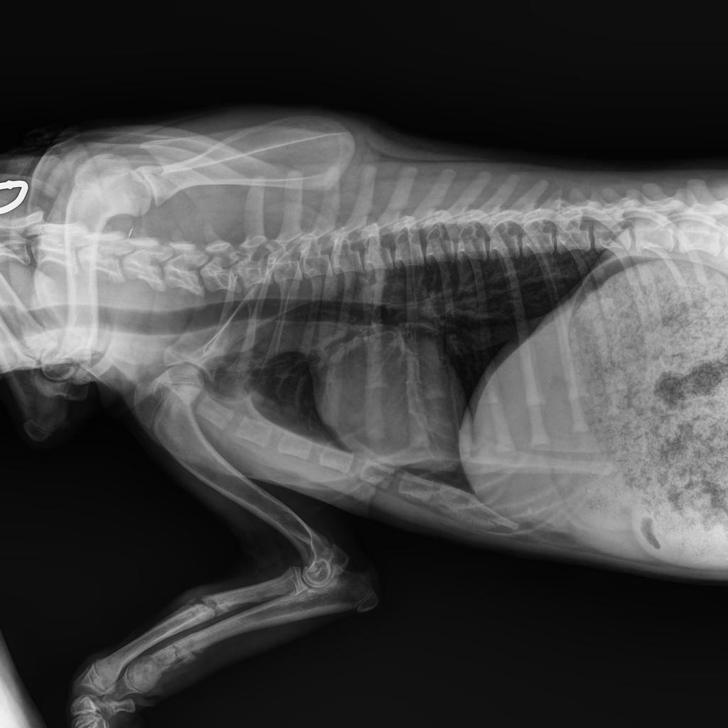
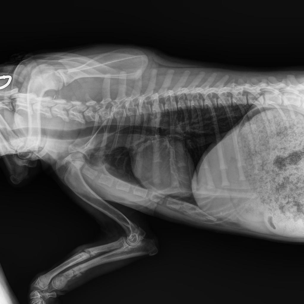
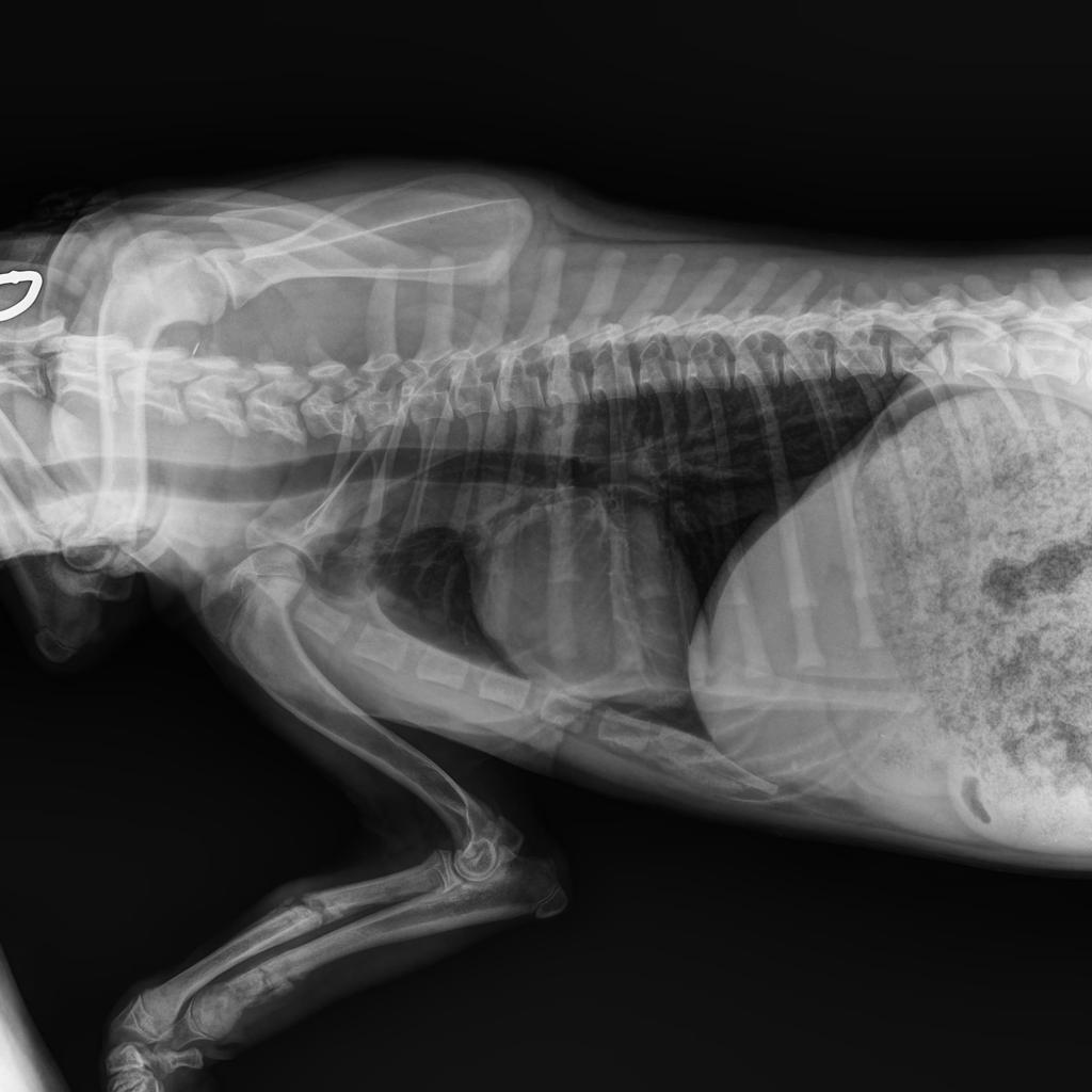
Nike Update
Der Klinikbericht zu der kleinen blinden Hündin ist da:
VETERINARY CLINIC Thessaloniki
„REPORT" Der Hund namens Nike wurde am 21/09/2022 mit neurologischen Symptomen vorgestellt: Ataxie, Desorientierung, Muskelzittern und unsicherer Gang. Nach der neurologischen Untersuchung wurde eine Erkrankung des Vorderhirns vermutet. Die Blutuntersuchung war innerhalb normaler Grenzen. Die Liquor-Analyse ergab keinen Hinweis auf eine Infektionskrankheit oder eine auf Steroide ansprechende Meningoenzephalitis. Es wird ein MRT des Gehirns und eine neurologische Untersuchung durch einen Facharzt für Neurologie empfohlen, um eine angeborene Hirnerkrankung zu bestätigen und die Prognose zu bestätigen. Die Untersuchungen von Nike sind beigefügt (s.Bilder)“
Diese Untersuchung (MRT) würden wir gern machen lassen, denn Nike hat ein Recht zu leben. Nur so können wir sie optimal fördern. Wir suchen also Paten, die mit uns für die kleine Kämpferin sorgen wollen. Bitte helft Nike!!!
Oktober 2022
Update zu Kilian
Kilian war angefahren an der Autobahn aufgefunden worden. In der Klinik, wo er drei Tage verbleiben musste, da die offenen Wunden gereinigt werden mussten und sein linkes Bein Sorgen bereitete. Die Lähmungen sind wohl zurückzuführen auf den gebrochenen dritten Lendenwirbel, der niedriger lag als die Wirbelsäule. Dies bedeutet Ruhe halten, eine OP kann folgen müssen. Die offenen Wunden am Hinterleib sowie am Hodensack waren äußerst schmerzhaft, so wird er nun weiter mit Antibiotika und mit Fieber senkenden Mitteln behandelt. Die Kosten belasten unser Budget schon sehr, aber Hilfe hat für uns Vorrang.
Für jede Spende für Kilian sind wir dankbar! Jeder Cent kommt an! 🍀
Oktober 2022
Hallo liebe Tierfreunde,
wir von Tierfreunde Griechenland e.V. brauchen eure Hilfe - oder besser gesagt, Riky braucht eure Hilfe!
Riky ist ein echter Schatz! Er ist immer gut gelaunt und liebt alle Menschen, Artgenossen und auch Katzen. Stundenlang kraulen? Ja! Im Garten toben? Ja! Sich mit Leckereien verwöhnen lassen? Ja!
Riky ist ein Hund, der viel Spaß am Leben hat - und auch gerne weiterleben möchte. Und genau damit hängt eine große Herausforderung zusammen:
Der griechische Schäferhund-Mix (geb. März 2020) hat ein Handicap. Denn bei Riky wurde eine zerebrale Ataxi festgestellt, was bedeutet, dass er an den Hinterbeinen motorische Störungen hat, weil sein Kleinhirn nicht mitwächst. Medikamente oder eine Operation können ihm nicht helfen, aber man kann ihn mit Physiotherapie oder auch Schwimmen unterstützen, um mit seinem Handicap besser leben zu können. Und: Mit seinen motorischen Störungen hat Riky überhaupt keine Probleme.
Spaziergänge sind zwar nicht möglich, aber im Garten hat er viel
Spaß. Eine inklusive Tierpension in Deutschland wäre traumhaft, oder ein Bauernhof, wo er sich einem Ersthund anschließen kann, oder, oder, oder…
Denn in Griechenland kann Riky nicht bleiben - die nächste Herausforderung. Ricky lebt aktuell in einer Pension in Griechenland, in einem Zwinger, wo er leider nicht zur Ruhe kommt. Seine Freundin Elli, die ihn bisher beschützte, ist vermittelt, hat ein Traumherrchen in Deutschland gefunden und Riky trauert ihr nach, was die anderen Hunde nicht stört, die ihm keine Ruhe gönnen. Deshalb möchten wir gern ihm helfen und sind für jeden Vorschlag dankbar. Da es schwierig ist, ihn zu vermitteln, möchten wir euch bitten, uns bei der Vermittlung zu helfen. Wer kann uns hier helfen? Kontakt
September 2022
Update zu unseren Patenhunden:
Wenig gute Nachrichten gibt es zu berichten von unseren Hunden, die frei in Griechenland leben, die von uns vor Ort gefüttert und medizinisch versorgt werden, soweit dies möglich ist.
Die beiden Patenhunde Jack und Linus sind leider verstorben. Genaueres konnten wir nicht erfahren. Mini und Soto leben gemeinsam am Strand in der Nähe von Peramos, Mini verjagt vorbeifahrende Autos, auch wir Besucher sind besser nicht ausgestiegen, sie verteidigt schon sehr ihr Revier und mag keine Fremden. Eva vertraut sie blind, da diese sie regelmäßig füttert. Mini passt auf Soto auf.
Soto ist schon sehr betagt, er hat sein ganzes Leben am Strand verbracht, auch er vertraut Eva, die sich nun schon seit vielen Jahren um die beiden Hunde kümmert. Es war für uns berührend zu sehen, wie diese drei eine Einheit bilden.
September 2022
Kilian - Opfer eines Rücksichtslosen
Angefahren und liegen gelassen worden ist dieser Rüde von Aliki auf dem Weg nach Kavala am Straßenrand gefunden worden. Zusammen mit Richarda ist Kilian ins Krankenhaus gebracht worden wo zuerst einmal die Wunden gereinigt wurden, mehrere offene Wunden mussten genäht werden, ein Beinbruch ist offensichtlich, doch das Röntgengerät war kaputt, so dass hier erst später Genaueres gesagt werden kann. Dieser hübsche Settermix litt unendlich, hoffen wir, dass unsere Hilfe ausreichen wird.
Wer mag sich an diesen Kosten beteiligen und Pate Kilians werden?
Update zu Kilian🐕
Dieser Setter-Mix, der den treffenden Namen Kilian erhalten hat - er braucht wirklich einen Schutzengel- ist direkt zum Arzt gebracht worden, der zuerst einmal sämtliche offenen Wunden desinfiziert hat und damit den ersten Heilprozess angestoßen hat. Nun war das Röntgen-Gerät defekt, weshalb er nun erneut zu einer Klinik gebracht werden musste, um seine Hüfte zu röntgen, da bei dem Autounfall vermutlich nicht nur diese fürchterlichen äußeren Wunden zurückblieben. Kilian verhält sich sehr tapfer, hoffen wir, dass die Hilfe, die er in Griechenland erhält, auch von Deutschland aus weiter unterstützt wird. 💕Wer mit einer (einmaligen oder monatlichen) Spende Pate dieses Unfallopfers werden möchte, kann dies über folgenden Link! 💙
September 2022
Impfmaterial gekauft.
Dank der Spenden konnten wir sowohl ausreichend Spot-Ons als auch Impfstoff erwerben. Auf den Videos kann man gut sehen, wie Aliki die Hunde gegen Mücken, Stechfliegen und Zecken wappnet, die Impfungen unternimmt der Tierarzt, sodass wir Ihre neuen Fellnasen gesund nach Deutschland bringen können und unsere Patenhunde, die in Griechenland bleiben, ebenfalls gut versorgt sind und dich wohl fühlen.
August 2022
Traurige Nachrichten! Der tolle Schäferhund-Mix Balu, mit dem preisverdächtig hübschen Gesicht, ist leider von einem Auto überfahren und getötet worden. Er sollte heute von seinem Platz bei den Thermen weggeholt werden, da für ihn Platz bei Aliki geschaffen werden konnte, doch zu spät. Ein rücksichtsloser Fahrer hat ihn getroffen und so ist der junge Balu bereits über die Regenbogenbrücke 🌈✨geflogen, mit Aliki und Vili trauern wir um ihn. 💙✨
August 2022
Nestor ein tragischer Notfall!
Aliki berichtet: „Gestern wurde ich von der Verwaltung angerufen, man habe einen Hund🐕🦺 in der Gegend am Strand gefunden, der seine Hinterläufe nicht mehr nutzen könnte. Wie man sieht, habe ich ihn vom Strand abholen können und notärztlich versorgen lassen. Heute sollte unser Tierarzt Thomas ihn noch mal untersuchen, aber leider kam unsere Hilfe zu spät, der kleine Kämpfer ist über die Regenbogenbrücke 🌈gegangen✨“
Der kleine Nestor hat immerhin in den letzten Stunden erfahren dürfen, dass Menschen sich um ihn kümmern und er nicht allein ist. Alles Gute lieber Nestor 🧚♂️
August 2022
Sheila- dringend OP nötig! 📍Spendenaufruf ❤️🩹
Wir hatten zu Sheila berichtet, sie war gefunden worden und ein Gips angelegt worden, weil bei einem Autounfall das Bein gebrochen wurde. Sheila wird nun von Aliki betreut. Nun zeigt sich aber, dass das Bein nicht gut verheilt ist, dass eine neue Operation angesetzt werden muss, der Knochen intern befestigt werden muss und dann ein Gips den Heilprozess unterstützen wird. Nur so kann Sheila wieder korrekt laufen und rennen. Donnerstag ist die Operation angesetzt, die gut 700 € kosten wird. Wer mag hierbei helfen und gezielt für Sheila 💝spenden? Jeder Euro hilft!
Tierfreunde Griechenland e.V.
DE43447615342319622900
GENODEM1NRD
VOLKSBANK IN SÜDWESTFALEN
PayPal: richarda.borkenstein@tierfreunde-griechenland.de
Juli 2022
Soto, einer unserer Patenhunde.
Heute hatte Soto seine zweite Behandlung und es geht ihm schon deutlich besser, aber es werden noch weitere folgen müssen.“
Dieser Hund ist einer unserer Patenhunde, der frei in Griechenland lebt, von uns mit Futter und medizinisch versorgt wird. Bei ihm war eine Geschlechtskrankheit festgestellt worden, die sehr schmerzhaft sein muss, weshalb die Behandlung dringend nötig ist und erfreulicherweise anschlägt, sodass es ihm besser geht. 🍀
Dank eurer Spenden ist diese Behandlung möglich. Wir würden uns über weitere Paten freuen, die mit einer selbst gewählten monatlichen Spende (also egal in welcher Höhe) uns und diese griechischen Fellnasen unterstützen.
Juli 2022
Hilfe und Pflegestellen gesucht! 💙
Unsere Hunde in Kavala suchen ihr Körbchen und ihre Familie in Deutschland 🇩🇪. Ende August könnten wieder Hunde reisen, die gern auch erst mal nur zur Pflege übernommen werden. Die Pension, die einige Hunde aufgenommen hat, muss schließen und insofern brauchen wir dringend Freunde, die sich zutrauen, eine liebe Fellnase aufzunehmen.Gerne informieren über unsere Homepage, oder telefonisch, nur Mut! Wir freuen uns über Ihr Interesse! Und die Fellnase wird es danken! Vielleicht ist ja schon ein erster Hund vorhanden und würde sich über einen Pflegekumpel freuen? Die Vermittlung von Deutschland aus ist häufig einfacher, und Aliki und Eva haben einfach zu viele Hunde und Welpen gerade.
Juli 2022
Ein lieber Gruß von Candy, die nun schon ein Jahr bei ihrer neuen Familie in Deutschland ist. Candy unterstützt die Familie beim Graben, beim Häusleverschönern, beim Einkauf, bewacht gekonnt den Einkauf auf dem Einkaufswagen. Die Puppe im Kinderwagen wird genauso beschützt, wie der Rest der Familie bei jedem Spaziergang! Ein Schleckermaul ist Candy auch, wen wundert es bei diesen Temperaturen 🥰💙🐕
Juli 2022
Ein kleines Update zu Aktivitäten in Griechenland, die wir finanzieren.
Neben dem normalen recht anspruchsvollen Alltagsgeschäft, alle Hunde zu füttern und zu versorgen, unterstützen wir natürlich Aliki auch bei den medizinischen notwendigen Behandlungen. So sind in der letzten Woche tierärztlich 20 Impfungen durchgeführt worden, einzelne Hunde noch mal reisefähig untersucht worden. Außerdem konnte das Antiparasiticum Advocate® besorgt werden, und Mittel gegen Durchfall für die von der Gemeinde bei Aliki abgegebene Welpen. Ebenso war der Einkauf für Wurmbehandlungen nötig, hier konnte mit 500 Stück für 200 € gut gespart werden. Diese Hilfe ist nur dank Eurer Spenden möglich. Danke und weiter so
Juli 2022
Bericht von der ersten Mitgliederversammlung:
Nun existiert der Verein Tierfreunde Griechenland e.V. bereits seit über einem Jahr. Auf der Mitgliederversammlung am 2. Juli 2022 ist unter anderem eine neue stellvertretende Vorsitzende gewählt worden. Heike Schulden aus Haltern am See, Mutter der griechischen Fellnase Stella, ist einstimmig zur stellvertretenden Vorsitzenden gewählt worden und freut sich nun auf die kommenden Aufgaben als Verstärkung im Team. Und wir danken ihr sowie allen Teilnehmenden der Sitzung für ihr Engagement im Sinne der Hunde.
Wir gehen nun gestärkt ins zweite Jahr unseres Vereins.
Juni 2022
Aliki hat einen neues Notfellchen von der Autobahn gefischt. 😢
Was mit dieser armen Kreatur passiert ist, lässt sich anhand der Bilder und Videos nur erahnen, die Hinterbeine hat sie wohl wund geschliffen, da vielleicht an der Hüfte was gebrochen ist, sie insofern diese hinter sich herschleift. Das herausgerissene Stück Fell muss unsagbare Schmerzen mit sich bringen, die Arme! Wir danken Aliki, die diese junge Dame nun nicht nur erst mal zum Tierarzt gebracht hat, die ihr auch eine Schutzzone geben wird, damit diese wieder kräftiger, soweit wie möglich gesund werden kann und auch wieder Vertrauen zu Menschen gewinnen kann. Jeder Euro zählt, jede Spende, die hier eingeht, hilft! Wir drücken der Hündin die Daumen, dass sie es über die ersten Tage schafft!
Update zu Athina! ❤️🩹
Hier sehen wir Athina auf dem Weg zum zur Tierklinik und dort angekommen, wo neben Röntgenaufnahmen des Beckens auch Ultraschallaufnahmen des Magenraums gemacht werden müssen. Es wird ersichtlich, dass hier einiges zu tun ist. Aliki musste die Hündin in der Klinik lassen und hofft nun auf positive Signale. Wir hoffen mit ihr und Athina ind bitten noch mal um Unterstützung! Jeder Euro hilft. Die Bluttests und erste kleinere Eingriffe sind abgedeckt, aber der Klinik-Aufenthalt und notwendigen Operationen reißen ein großes Loch in unser Budget? Wer hat ein Herz ♥️ und hilft uns, diese verletzte Hündin zu retten? Hilfe für Athina!
Update
Danke allen Spendern!
Es sind nun 860 € an Spenden eingegangen! Vielen Dank sagen eure Tierfreunde Griechenland 💙! Wir sind schwer beeindruckt, dass vielen von euch das Schicksal von Athina genauso nah geht wie uns. So können wir hier natürlich die mögliche Behandlung (operative Eingriffe) angehen, der armen Maus die unerträglichen Schmerzen nehmen. Lasst uns hoffen, dass sie bald wieder auf die Beine kommt. 🍀
Jeder Cent Spende kommt an und verbessert das Leben der ausgesetzten, weggeworfenen oder abgegebenen Hunde in Griechenland! Danke allen Unterstützern!
Juni 2022
Eine Familie freut sich auf den fellnasigen Zuwachs, Maito wird sehnsüchtig erwartet, ist inzwischen gut angekommen. Diese Begrüßung ist besonders originell! Die T-Shirts sind von der Tochter selbst gemalt und entworfen, und so kann man gut behalten, wann Maito die Familienherzen eroberte. Danke ihr lieben Adoptanten!
Juni 2022
Gute Nachrichten! 💙Für unsere drei Sorgenkinder Alia, Maja und Rani geht es bergauf 🍀 Wir hatten berichtet, dass sie an Filarien erkrankt sind. Die erste Behandlungsstufe mit Antibiotika läuft bereits seit April, nun konnte die erste Spritze alle drei Fellnasen gegeben werden. Im entsprechenden Abstand folgen die weiteren Spritzen, so dass auch diese drei Hunde gesund werden können. Dank an unsere hilfreichen Spender, nur durch euch ist diese Behandlung möglich! Tierpatenschaft
Mai 2022
Heute Morgen ist Aliki informiert worden, dass in einem Brunnen nicht weit von ihrem Haus ein Hund gefangen wäre. Als sie bei ihr ankam, fand Aliki die Arme völlig erschöpft vor. Wer weiß, wie lange sie versucht hat, aus dem Brunnenloch herauszukommen. Nun, sie habe sie aus diesem Brunnenloch herausgeholt und die allererste Untersuchung ist erfolgt. Aliki sagt, sie habe noch nie einen Hund mit so viel Zecken auf einmal gesehen! Auch hat sie ein großes Geschwür am Unterleib, welches aber erst entfernt werden kann, wenn ihr Hämatokritwert wieder gestiegen ist. Nun wird sie erst einmal Antibiotika, Vitamine und Eisentabletten erhalten, und sobald die Blutwerte besser sind, wird die Tierärztin den Tumor operieren. Drücken wir also der Hündin die Daumen, wir suchen zugleich nach einem hübschen Namen für diese Kämpferin! Danke Caroline Ferreau für den schönen Namen Tyche :-)
Update:
Leider hat diese Hündin es nicht geschafft. Tyche war in einen Brunnen gefallen, und Aliki ist gerufen worden, hier zu helfen. Wie man auf dem Video sehen konnte, hat Aliki ganz vorsichtig die Hündin aus dem Brunnen heraus geholt und tierärztlich versorgen lassen. Vermutlich aber waren die inneren Verletzungen zu groß und der Kampf der kleinen Maus schon zu lang, so das sie in den Hundehimmel entschlafen ist. Tyche hat so immerhin erfahren dürfen, dass Menschen ihr helfen wollten, bevor sie gestern über die Regenbogenbrücke🌈 ging.
Mai 2022
Schlechte Nachrichten zu Linus!
Linus wird wohl nicht nach Deutschland vermittelt werden können, wir nehmen ihn in Griechenland in Obhut. Für unsere Unterstützer, wir nehmen ihn auf als Patenhund. Seine Geschichte ist nicht so schön, er ist ja zuerst von einem Mann mitgenommen worden und dann vor zwei Wochen einfach wieder an der Therme ausgesetzt worden, als dieser Mann woanders hinzog. Der Hund war wohl im Weg. 😩 Die Pflegefamilie, die sich nun in Griechenland um ihn kümmern wollte, hat das mit der Versorgung nicht so ernst genommen, hat ihn zwar gefüttert, aber weder im Haus gelassen noch sonst versorgt. Die Nachbarn hätten sich über sein Gebell beschwert und deshalb habe man ihn raus in die Natur gelassen. Scheinbar ist hier in den ersten Monaten also schon zu viel falsch gelaufen, so dass Aliki sich seiner annimmt, die Tierärztin untersucht ihn erst mal und dann soll er vor Ort erst einmal zur Ruhe kommen. Wer also Linus unterstützen möchte, kann gerne eine Patenschaft übernehmen, aber diese hübsche junge Mann bleibt erst einmal in Griechenland
Mai 2022
Liebe Freunde und Unterstützenden! 💙
Aufgrund unseres Umzugs von Herne nach Recklinghausen und der verzögerten Bereitstellung der neuen Telefon- und Internetverbindung bitten wir um ein wenig Geduld. Wir hängen etwas hinterher, bearbeiten alle Anfragen so schnell wie möglich, kämpfen selbst mit diesen Übergangsbedingungen.
Seid uns nicht böse, wir werden keine Nachricht ignorieren, wir benötigen nur aktuell etwas mehr Zeit,als ihr es sonst von uns gewohnt seid. Drückt uns die Daumen, dass wir schnell wieder in der Verwaltung online sind und arbeiten können.
Mai 2022
Liebe Tierfreunde,
Aktuell werden überall die Preise erhöht, und wir haben lange versucht, dies zu vermeiden und bei der Schutzgebühr von 430 € zu bleiben. Aber damit wir nicht zu jeder Vermittlung inzwischen deutlich zuzahlen, haben auch wir uns entschieden, diese Schutzgebühr anzuheben. Wir zahlen seit Anfang des Jahres circa 30 € mehr für den Transport eines jeden Hundes, da auch hier von unserem Fahrunternehmen die Benzinpreise kalkuliert werden müssen. Die Paletten nach Griechenland zur Versorgung der Hunde, zum Verschicken der notwendigen Reisedokumente unsere Fellnasen begleitend, die Sicherheitsgeschirre etc. sind um 20 % teurer geworden, die Futter- und Tierarztkosten in Griechenland sind erhöht worden.
Wir haben daher einfach noch mal kalkulieren müssen und wenn wir weiter bestehen wollen, trotz aller Unterstützung und Spenden, die wir dankenswerterweise erhalten, müssen wir realistisch sein und haben beschlossen, die Schutzgebühr um 20€ auf 450€ zu erhöhen. Ab 1. Mai gilt nun entsprechend dieser neue Preis zur Vermittlung eines Hundes.
April 2022
Hilfe dringend benötigt! 💙
Das ist Rena, vor 4 oder 5 Jahren hat sie auch am Thermalbecken gelebt, aber sie war sehr scheu und wollte keinen Kontakt zu den Menschen vor Ort. Rena hat niemandem vertraut, bis auf einem Mann, der sie auch dann irgendwann mitnahm und jetzt nach diesen Jahren wieder an der gleichen Stelle in diesem erschreckenden Zustand aussetzte. 😢 Aliki wurde gerufen und kümmert sich jetzt um die Arme. Rena ist in sehr schlechtem Zustand, ihr wurde jetzt Blut abgenommen und wir vermuten, dass bei Rena Leishmaniose und noch einige andere Krankheiten ausgebrochen sind, wir werden berichten. Jede Spende mit Hinweis auf Rena geht direkt an Aliki für sie, wir danken für Eure Unterstützung !
April 2022
Leider müssen wir euch informieren, dass die Hündin Luna, welche ihr Leben an den Dünenstränden von Nea Peramos verbracht hat nicht mehr auffindbar ist. Wir befürchten, dass Luna einem Verkehrsunfall zum Opfer gefallen ist. Die Welpen, welche sie im letzten Jahr zur Welt brachte konnten in Familien vermittelt werden. Ich glaube jeder wird sich für immer an Luna und ihre Welpen erinnern. Luna blieb Menschen gegenüber immer sehr scheu und sie ließ sich auch nie einfangen. Wie bei Tom und Jerry war uns Luna immer einen Schritt voraus. Der Strand wird ohne Luna nicht mehr der gleiche sein.
Die vier Fellnasen leben für ihre Mama Luna weiter 💓

April 2022
Was ein Traum! Urlaub mit Fellnase und Familie in Allrode im Harz!
Unsere Familie Boehnke, die den Linus aus Griechenland adoptiert hat, bietet nicht nur Familien die Chance, tolle Tage mit ihrem Fell-Liebling im Ferienhaus zu verbringen, sie spenden dazu auch noch mit Ihren /Euren Buchungen für unsere Hunde 🐕 in Griechenland. Wir sagen also jedem Urlauber herzlichen Dank und erklären die Familie Boehnke zu unserer Spenden-Familie des Monats!
Habt tausend Dank und Grüße an Linus und Bärbel 🐾🐕🐕
März 2022
Dringend - Patin und/ oder Paten gesucht. Für unseren 9-jährigen Rüden Soto, der am Strand in Peramos lebt, brauchen wir finanzielle Unterstützung. Die Blutentnahme hat ergeben, dass er einen Stickertumor hat. Dieser Tumor entwickelt blumenkohlartige Geschwulste an den Geschlechtsorganen, ist aber durch Chemotherapie zu 95% ausheilbar. Soto ist sonst kerngesund, aber diese Chemo-Behandlung muss sein und dazu benötigen wir Eure Hilfe. Wer mag für Soto als Patin oder Pate einspringen, mit einer einmaligen oder auch monatlichen Patenschaft? Jeder Euro hilft ! Unser Dank ist genauso sicher, wie Sotos, der auf die erste Anwendung gut reagiert hat. Hoffen wir für unseren jungen Griechen!!!!
März 2022
Tierliebhaber:
Gerne möchten wir euch den online Shop der Tierliebhaber vorstellen. Wir beteiligen uns hier mit einem Projekt und sind sehr dankbar, dass wir schon einiges an Spenden erhalten konnten. Ganz transparent, wie gewünscht, stellen wir vor, was wir jeweils für Aktionen für unsere griechischen Fellnasen gestartet oder umgesetzt haben.
Im Shop legt man nach Belieben Produkte in den Warenkorb, geht zum Warenkorb und dann weiter zur Kasse. Es ploppen drei Online-Zahlungsoptionen auf, entweder man wählt eine von diesen oder man gibt seine Adresse ein und geht dann weiter zur Zahlung. Dort erscheint das Feld Spende Tierliebe und man kann anklicken, wie viel Prozent man spenden will oder einen eigenen Spendenbetrag ausfüllen. Darunter steht, dass der Betrag an die Tierfreunde Griechenland geht und über die Verwendung der Spendengelder transparent auf Instagram berichtet wird. Tierliebhaber Onlineshop
März 2022
Hallo liebe Hunde🐕- und Katzen🐈-Freunde! Wir freuen uns immer riesig über die vielen Futterspenden für unsere Schützlinge in Griechenland. Heute wollen wir daher euch MERA empfehlen, die in Kleve ansässige Firma stellt hochwertiges Tierfutter her und wir bestellen regelmäßig dort. Mit folgendem Link wollen wir euch einladen, auch für eure treuen Begleiter dort zu bestellen. Mit jeder Bestellung, die ihr dort tätigt, gibt es für uns Bonuspunkte, die wir wiederum in Futter für unsere Schützlinge in Griechenland nutzen. Und wenn ihr mögt, könnt ihr auch dort für uns Futtersäcke direkt spenden. Sobald eine Palette dann voll ist, geht diese nach Kavala in Griechenland und wie groß die Freude dort ist, das wisst ihr ja. Danke für eure Unterstützung! Klickt auf den Link und folgt den Schritten der Anmeldung und dank Bestellung und das Glück 🍀 ist nah, bald euer Liebling gut genährt.
März 2022
Wir sind ganz happy :-) und begrüßen ganz herzlich in unserem Team die liebe Christin.
Mein Name ist Christin Runge, ich wohne mit meinem Mann, unseren beiden Jungs 16 J. / 7J, sowie unseren beiden Fellnasen Cesar 7J. und Charly 1J. in Groß Vollstedt im schönen Schleswig-Holstein.
Zum Tierschutz bin ich durch unseren ersten Auslandshund Cesar gekommen. Da die Beratung und Vermittlung von Richarda und vor allem das tolle Wesen von unserem Hund Cesar so toll war, wollte ich auch was tun und somit habe ich meinen Mann überzeugen können, zwischen Krankenhausaufenthaltenmeines großen Sohnes, Arbeit und Kindern, Pflegehunde aufzunehemen. Was auch erstaunlich gut funktioniert. Somit haben wir schon einigen Fellnasen geholfen, ein tolles Zuhause finden zu können, bis wir schlussendlich irgendwann auch zu Pflegestellenversagern wurden und unseren kleinen Charly behalten haben.
Als Richarda mich nun fragte, ob ich Lust hätte, ein Teil dieses tollen Teams zu werden, habe ich mich riesig gefreut, da ich voll hinter Ihrer tollen Arbeit stehe. Ich werde mein Bestes geben, damit soviele Fellnasen wie möglich auch ein tolles Zuhause bekommen werden.
christin.runge@tierfreunde-griechenland.de
März 2022
Zum 23. Februar diesen Jahres ist Dörthe Jung von ihrem Amt als stellvertretende Vorsitzende der Tierfreunde Griechenland e.V. aus persönlichen gesundheitlichen Gründen zurückgetreten. Wir danken ihr von Herzen für die viele geleistete Arbeit, ohne die so viele unserer Fellnasen nicht ihre Traumfamilien hätten finden können. Es wird nicht einfach, in ihre Fußstapfen zu treten, aber gemeinsam geben wir uns alle Mühe! Herzlichen Dank und nur das Beste wünschen wir Dörthe.
Februar 2022
Juchhu wir haben tatkräftige Unterstützung
Ich bin Ulrich Kappen, Rentner und seit der Gründungsversammlung bei den Tierfreunden Griechenland e.V.
Meine Frau Cornelia Schrudde und ich haben selbst vier Hunde aus dem ausländischen Tierschutz und sind froh, dass wir jetzt hier mitarbeiten dürfen. Jedes Tier ist es wert, ein besseres Leben führen zu dürfen. Bei den Tierfreunden bin ich für die Nachkontrollen zuständig.
Februar 2022
Heute hat unsere liebe Villi als "Helfende Hand/Helping Hands" ihren "Dienst" bei Aliki angetreten. Villi unterstützt Aliki u.a. beim Reinigen der Gehege, Aufenthaltsorte der Hunde, Welpenstube, da gibt es jeden Tag viel zu tun. Hier wird besonders großen Wert auf Sauberkeit gelegt. Sie übernimmt auch die tägliche Fütterung der Hunde. Villi ist eine gute Seele, die Aliki ebenso beim Empfang der Spenden hilft oder auch wenn die Futterpaletten ankommen und es heißt, die ganzen einzelnen Säcke und Spenden müssen verstaut werden. Aliki hat dadurch mehr Zeit, sich mit den ebenso wichtigen Aufgaben wie Tierarztbesuche, Besuche bei Familien, die um Hilfe gebeten haben, zu tätigen, Versorgung von kranken Tieren, Behördengänge etc. zu beschäftigen und auch Zukunftsplanungen wie z.B. das neue Gelände weiter voranzutreiben. Wir haben jetzt die für Aliki und uns ganz wichtige Patenschaft "Helping Hands" kreiert, die ab sofort von Ihnen/Euch als Patenschaft für Aliki und Villi übernommen werden kann. Eine monatliche oder auch einmalige Patenschaft mit dem Credo "Helping Hands" ist direkt hier zu erwerben.
Februar 2022
Liebe Freunde, Freundinnen, MitgliederInnen, UnterstüterInnen, Patentanten und Patenonkels von Tierfreunde Griechenland e.V. - Ihr könnt euch gar nicht vorstellen, wie wir uns zur Zeit fühlen - wir sind sehr aufgeregt und zugleich sehr demütig, dass uns durch eine "kleine" Anfrage bei der Firma "Tierliebhaber" (die mit den tollen Hundeprodukten) so viel bemerkenswertes Engagement entgegenströmt. Ziel dieser Aktion ist, mit Transparenz im Vordergrund auf Social Media zu zeigen, wie viele Spendengelder jede Woche zusammen kommen & genau aufzuführen, wofür diese Gelder eingesetzt werden. So erreichen wir, dass das ganze Projekt langfristig immer bekannter gemacht wird und zu mehr Reichweite führt. Es ist für jeden erkennbar, wo die Spenden am Ende wirklich ankommen und es kann verfolgt werden, wie die Schicksale dieser Hunde ihren Lauf nehmen. Die Hunde werden vom Einfangen auf der Straße, über die gesundheitliche Versorgung, bis hin zur Vermittlung begleitet. Wir sind noch ganz am Anfang und freuen uns auf die bevorstehende Aufgabe. Zurzeit ist eine Spendensumme von 1.934,28 € zusammengekommen und das ist erst der Anfang.
Wir sagen herzlichen Dank an die Firma Tierliebhaber.
Februar 2022
Die gespendeten Schmutzfangmatten wurden verbaut, die Hütten haben einen neuen Boden bekommen und der Regen hat nachgelassen. Danke den fleißigen Spendern für diese tollen Matten, sie helfen enorm weiter. Ihr seht, Aliki und George haben fleißige Helferlein, Billy hat alles ordnungsgemäß entsorgt!!!! 🥰😁💓🤣
Februar 2022
Sehr herzlich das Fotoshooting mit Boulis, unserer Mandel und der Katze des Hauses bei Marijke - Boulis (großer Rüde) und Mandel (kleines Mädchen) sind so bei der Sache, sie merken die Kamera gar nicht und so soll das ja auch sein, danke Euch für die lieben Bilder😉🐕🐕🐱 Mandel hat bereits eine Familie finden können und wartet jetzt gespannt auf die Ausreise, das dauert aber noch etwas...
Februar 2022
Wunderschöne neue Spendendosen sind eingetroffen - wer eine braucht bitte melden bei kontakt@tierfreunde-griechenland.de 🙃👍🍀 danke für Ihre Ideen!
Januar 2022
Marijke, Sofia und Theo haben die Zeit genutzt, um weitere Puppiehütten noch wintersicherer zu machen. Sie haben diese mit Styropor unterlegt und eine wärmende Hülle gebaut. Theo hat noch eine Matte, die Wärme abgibt und für 8 Std. diese auch hält, mitgebracht, damit die Rasselbande es schön kuschelig warm hat. Danke an Euch für diese Idee, damit es den kleinen an nichts mangelt. Natürlich nur mit großer Unterstützung der Welpen, die es kaum abwarten können, in ihre neue Hütte einzuziehen.
Finde den Fehler !!! Alle fanden die gestylte Hütte supercool und haben sie ausgiebig inspiziert 🏠🐕 auch die Großen 😂 Marijke, Sofia und Theo sehen es dennoch gelassen 😍😍
Januar 2022
Unsere lieben Kleinen beim Tierarzt - sie machen das toll!!!! Und auch eine sehr ergreifende Szene mit Marijkes Hund Boulis!!!
Danke für die tollen Bilder :-)
Januar 2022
Leila gibt alles, um die kleine Rasselbande der Neuankömmlinge bei Mareijke und Theo als Ersatzmama zu bespaßen. Sie hat mächtig Spaß daran, sich vorsichtig und sehr empathisch mit Brandy, Whiskey, Toffee, Snowy, Mandel und Sherry im Garten umherzubollern und die vorhandenen Sonnenstrahlen zu genießen. Danke Dir Leila für Deinen Einsatz, du bist eine ganz tolle. Wir finden, Bilder sprechen mehr als 1000 Worte :-)
Januar 2022
Wir suchen dringend ein Zuhause für Riky - eine Familie, die voll und ganz hinter Riky steht! Wir wissen, dass dies schwierig wird, jemanden zu finden, aber vielleicht gibt es sie ja doch - DIE FAMILIE! Riky ist in einer Pension untergebracht und sucht weiterhin ein ruhiges Plätzchen, wo sich alles oder vieles nur um ihn dreht. Hier die Geschichte zu Riky: Riky wurde Anfang März 2020 in einem Dorf in der Nähe von Kavala geboren. Während sich seine Geschwister bester Gesundheit erfreuten, stellte sich bei Riky nach einiger Zeit heraus, dass er große motorische Probleme hat. Sein Besitzer brachte ihn daher zur örtlichen Tierärztin mit der Bitte, den Hund einschläfern zu lassen. Die Tierärztin kam dieser Bitte nicht nach, sondern untersuchte Riky voll umfänglich und stellte fest, dass der kleine Rüde abgesehen von der motorischen Störung absolut gesund ist. Und ich kann euch sagen, wenn man Riky einmal begegnet ist, erscheint auch nur die Möglichkeit der Euthanasie in Betracht zu ziehen als unmöglich. So bezog Riky im Alter von etwa drei Monaten sein Quartier in der Hundepension unserer Tierärztin. Melanie und Aliki gingen dann gemeinsam mit der zwischenzeitlich recht groß gewordenen Fellnase in die Universitätsklinik und im Anschluss in die Radiologie nach Thessaloniki. Dort stellte sich heraus, dass sein Kleinhirn nicht mit wächst und man dagegen auch medikamentös nichts machen könnte. Das einzige was Riky hilft, ist Training und Physiotherapie. Evtl. wäre auch Schwimmen hilfreich. Riky ist ein Hund voller Lebensfreude und Liebe. Er versteht sich mit allen Hunden und Katzen bestens. Aktuell lebt er gemeinsam mit der Hündin Elli in einem Zwinger. Auch auf Menschen geht der Rüde total offen zu und freut sich über jede Streicheleinheit wie wahnsinnig. Alle Menschen, die Riky kennengelernt haben, lieben Riky. Vermutlich wird er aber er in Griechenland so gut wie keine Chance haben, adoptiert zu werden, da sich die Menschen aufgrund seiner motorischen Defizite schämen würden (Einschätzung der TierschützerInnen vor Ort). Daher hoffen wir nun in Deutschland eine Familie zu finden, die Riky in ihr Herz schließt. Riky könnte ein reinrassiger griechischer Schäferhund sein (Vermutung). Eine in Griechenland sehr beliebte Rasse bei großen Hunden. Er ist natürlich geimpft und wird bald auch kastriert werden. Sein Geschäft macht er nur außerhalb des Zwingers. Aufgrund seiner motorischen Einschränkung und Größe können wir uns Riky nicht als Wohnungshund vorstellen, sondern sehen ihn eher in einem Haus mit Garten oder auch auf einem Bauernhof auf jeden Fall ebenerdig. Riky wünscht sich so sehr einen Menschen, der Zeit für ihn hat. Er wird seine Familie auf jeden Fall mit Liebe überschütten und jede Menge Lebensfreude mit einbringen. Wir würden uns sehr freuen, wenn sich jemand ein Leben mit Riky vorstellen könnte. Ricky benötigt zurzeit keinerlei Arzneimittel.
Januar 2022
Gestern hat ein Hundetreffen der besonderen Art in Haltern am See stattgefunden - Stella, die dort ein zuhause finden konnte, hatte Besuch von Pauline aus Ludwigshafen - die Familien haben sich mit Richarda dort getroffen und einen ganzen Kofferraum an Spenden übergeben. Es für alle Beteiligten ein wunderschöner Nachmittag. Vielen Dank an Euch - Ihr seid Spitze!!!!












































































































































































































































